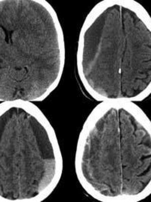
La sabiduría de la naturaleza diseñó para su cuidado unos anillos de seguridad y de protección. Un rompecabezas de huesos acoplados que forman el cráneo, es el casco preventivo que lo encierra y mantiene a salvo de golpes. De manera natural diseñó unas cubiertas para su protección y envoltura. Un par de finísimas sabanas trasparentes que se adosan a su superficie y son las que tienen el contacto íntimo y contienen como refrescante nutritivo el líquido cefalorraquídeo. Además, con función amortiguadora e inmunológica. La piamadre y aracnoides son estas finas envolturas. Entre estas sabanas y la tabla interna, irregular y rugosa del cráneo, le dio una envoltura más firme y protectora. Como una cobija encontramos la duramadre, la cubierta externa de la superficie del cerebro. Un hematoma subdural es el acumulo de sangre entre las sabanas intimas de la superficie y la duramadre. Hay que imaginarla como una mancha de aceite que arropa todo el encéfalo.
Unas finísimas velas entre el cerebro y la duramadre son unas venas colgando: las lábiles venas puentes. Golpes muy leves, pequeños, los cuales pueden pasar desapercibidos, las pueden romper. Así empieza el escurrimiento de sangre y en la medida que se va derramando se extiende la dispersión de la mancha sobre el cerebro. Llega un momento en que no se puede extender más en el plano horizontal, dos a tres semanas desde el golpe, y empieza a comprimir el cerebro. En este momento -ya enquistada- se inician los síntomas: dolor de cabeza, sensación de inestabilidad y perdida o lentitud de las funciones cognitivas del individuo. Los familiares lo notan confuso, desorientado y torpe en la marcha. “Viejito apendajao es hematoma asegurao” es la mnemotecnia que permite recordar toda la vida al estudiante de medicina su diagnóstico clínico.
Tengo una consanguinidad especial con el hematoma subdural. Lo he tenido muy cerca: como cirujano y como familiar. Desde Reagan hasta C. Kirchner. En los ambientes académicos y universitarios, varios de mis profesores lo han sufrido. Altos funcionarios del estado colombiano lo han padecido. Hace unas décadas el expresidente Lleras Camargo y más reciente el exalcalde Petro. Un trauma en un escenario deportivo, balonazo, por ejemplo, puede ser una causa. Ocupó nuestra atención en la última semana lo de Diego Maradona.
Un episodio histórico enseña el talante de los gobernantes. A su regreso de USA después de cirugía del subdural, el expresidente Lleras Camargo escuchó con atención las sugerencias de su neurocirujano y amigo, Jaime Gómez González. La grandeza jamás se duerme en las enfermedades. Nació el Instituto Neurológico de Colombia, centro académico por excelencia donde se formaron especialistas en Neurología y Neurocirugía, hoy distribuidos en el país y en Latinoamérica. Por esas veleidades administrativas fue cerrado en 1996. No obstante, no ha muerto. Cada uno de sus egresados, en el sitio que estemos, llevamos en nuestro comportamiento un pequeño instituto que palpita en el corazón.








